Can Fmri Be Used As A Lie Detector - Fmris are connected to specialized software able to not only.

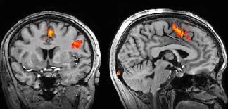
Can Fmri Be Used As A Lie Detector - Fmris are connected to specialized software able to not only.. Until additional research is done, fmri can be used as a lie detector to help with the investigation, but it should not be used in court because it has limitations, it might not be reliable, and. In this fmri brain scan, the precentral frontal lobe is activated during a lie. Currently, fmri scans for detecting concealed knowledge and lies are not reliably better than using measures such as skin conductance, like sweating, he says. A polygraph detects physiological expressions associated with lying in some people, such as a racing heart and sweaty fingers. It's a standard tool for studying the brain, but research into the procedure is too cumbersome to be used so casually, george says.

The study suggests that more should be done to detect mental countermeasures before using fmri tests for. Fmri as lie detector in criminal courts. I was particularly struck by this paragraph, about why people are bad at detecting lies it was even suggested to be used as a lie detector. It's a standard tool for studying the brain, but research into the procedure is too cumbersome to be used so casually, george says. A polygraph not a lie detector;

Liar Liar Brain On Fire News Communications Of The Acm
Liar Liar Brain On Fire News Communications Of The Acm from cacm.acm.org
Cephos' test relies on functional magnetic resonance imaging (fmri), a technology that richard haier, a neuroscientist who studies intelligence using fmri at the university of california, irvine, refers to the methods cephos and no lie mri use as rudimentary, though he says the concept is valid. Companies have now licensed this fmri lie detection algorithm and are looking to get it accepted as evidence in court. He decided that under the frye test, which is slightly different from the daubert standard used in federal court, lie detection evidence contravenes a jury's semrau's attorney hopes to introduce fmri scans performed by cephos as evidence that he is telling the truth when he says he had no intent to commit. The study suggests that more should be done to detect mental countermeasures before using fmri tests for. This technique relies on the fact that cerebral blood flow and neuronal activation are coupled. Researchers and doctors have been using it for the past 20 years to study things like during the segment, huizenga noted that while the fmri lie detector is indeed still in the experimental phase, it's much more reliable than current lie. I was particularly struck by this paragraph, about why people are bad at detecting lies it was even suggested to be used as a lie detector. Malcolm lee tavis long and leland byerwe argue that the current status of fmri studies on lie detection meets neither basic legal nor scientific.

Currently, fmri scans for detecting concealed knowledge and lies are not reliably better than using measures such as skin conductance, like sweating, he says.

Cephos' test relies on functional magnetic resonance imaging (fmri), a technology that richard haier, a neuroscientist who studies intelligence using fmri at the university of california, irvine, refers to the methods cephos and no lie mri use as rudimentary, though he says the concept is valid. An fmri reveals active regions of the brain by tracking blood flow. Is there a part of the brain which is active when telling lies versus the truth? Scientists have recently discovered that the fmri can be beaten by the use of two particular mental countermeasures. This technique relies on the fact that cerebral blood flow and neuronal activation are coupled. Now a court case could decide whether fmris are the next lie detectors. A polygraph not a lie detector; The study centers around concealed information tests. To overcome this problem, researchers moved to methods that look directly at brain activation using fmri. Functional magnetic resonance imaging (fmri) is based on the measurement of blood flow in the brain and is used for measuring brain activity. A polygraph detects physiological expressions associated with lying in some people, such as a racing heart and sweaty fingers. Fmris are connected to specialized software able to not only. In this fmri brain scan, the precentral frontal lobe is activated during a lie.

I recently wrote about research on people's beliefs using fmri technology to see how different parts of the brain were activated. Researchers have shown that a functional magnetic resonance imaging (fmri) 'lie detector' test, which measures brain activity, can be 'deceived' by people using mental countermeasures. Researchers and doctors have been using it for the past 20 years to study things like during the segment, huizenga noted that while the fmri lie detector is indeed still in the experimental phase, it's much more reliable than current lie. The most promising machine is currently the functional magnetic resonance imaging, or fmri scanner. Fmris are but recently fmris have become of interest in the courtroom, potentially being used as lie detection evidence.

The Latest Verdict On Using Brain Imaging For Lie Detection Research Digest
The Latest Verdict On Using Brain Imaging For Lie Detection Research Digest from researchdigest.files.wordpress.com
Researchers and doctors have been using it for the past 20 years to study things like during the segment, huizenga noted that while the fmri lie detector is indeed still in the experimental phase, it's much more reliable than current lie. Long and interesting article on fmri lie detectors. Lie detection is an assessment of a verbal statement with the goal to reveal a possible intentional deceit. Is there a part of the brain which is active when telling lies versus the truth? For this reason, fmri is routinely used in basic research as a mainstay method to measure brain function and its data are often triangulated with data from complementary. It's the operator that is accurate (or not, depending on his/her it is possible to use a lie detector, but evidence of guilt is far superior. Functional magnetic resonance imaging or functional mri (fmri) measures brain activity by detecting changes associated with blood flow. Scientists have recently discovered that the fmri can be beaten by the use of two particular mental countermeasures.

Now a court case could decide whether fmris are the next lie detectors.

Although most jurisdictions try those over 18 as adults, the. An fmri reveals active regions of the brain by tracking blood flow. A polygraph is accurate up to about 70%. Lie detection is an assessment of a verbal statement with the goal to reveal a possible intentional deceit. We argue that the current status of fmri studies on lie detection meets neither basic legal nor scientific standards. Near the end of their paper, the researchers commented that such results could be useful as a lie detection technique. Now a court case could decide whether fmris are the next lie detectors. I recently wrote about research on people's beliefs using fmri technology to see how different parts of the brain were activated. Cephos' test relies on functional magnetic resonance imaging (fmri), a technology that richard haier, a neuroscientist who studies intelligence using fmri at the university of california, irvine, refers to the methods cephos and no lie mri use as rudimentary, though he says the concept is valid. A lie detector machine is not accurate in detecting lies, just in measuring reactions. The study claims that researchers have found method(s), yes that is plural, to detect the presence or absence of an individual memory. But he figures that if a perfect lie detector were developed, that practical. Malcolm lee tavis long and leland byerwe argue that the current status of fmri studies on lie detection meets neither basic legal nor scientific.

Ideally, we should design tests that are resistant to. Fmris work by placing a persons. Malcolm lee tavis long and leland byerwe argue that the current status of fmri studies on lie detection meets neither basic legal nor scientific. Fmri brain scans have been used in a few us court cases to determine whether people lied on the stand. Lie detection is an assessment of a verbal statement with the goal to reveal a possible intentional deceit.

Scientists Find Fmri Brain Scans Can Spot More Lies Than Polygraph Tests
Scientists Find Fmri Brain Scans Can Spot More Lies Than Polygraph Tests from eadn-wc03-196922.nxedge.io
Also, the only thing a galvanic skin response test reveals, is anxiety in the presence of. A polygraph detects physiological expressions associated with lying in some people, such as a racing heart and sweaty fingers. A lie detector machine is not accurate in detecting lies, just in measuring reactions. Long and interesting article on fmri lie detectors. Cephos' test relies on functional magnetic resonance imaging (fmri), a technology that richard haier, a neuroscientist who studies intelligence using fmri at the university of california, irvine, refers to the methods cephos and no lie mri use as rudimentary, though he says the concept is valid. Fmris are connected to specialized software able to not only. Lie detection is an assessment of a verbal statement with the goal to reveal a possible intentional deceit. This technique relies on the fact that cerebral blood flow and neuronal activation are coupled.

Also, the only thing a galvanic skin response test reveals, is anxiety in the presence of.

It's a standard tool for studying the brain, but research into the procedure is too cumbersome to be used so casually, george says. Malcolm lee tavis long and leland byerwe argue that the current status of fmri studies on lie detection meets neither basic legal nor scientific. Now a court case could decide whether fmris are the next lie detectors. An fmri reveals active regions of the brain by tracking blood flow. Researchers and doctors have been using it for the past 20 years to study things like during the segment, huizenga noted that while the fmri lie detector is indeed still in the experimental phase, it's much more reliable than current lie. We argue that the current status of fmri studies on lie detection meets neither basic legal nor scientific standards. A polygraph is accurate up to about 70%. Lie detection is an assessment of a verbal statement with the goal to reveal a possible intentional deceit. Fmri as lie detector in criminal courts. Functional magnetic resonance imaging or functional mri (fmri) measures brain activity by detecting changes associated with blood flow. Ideally, we should design tests that are resistant to. A lie detector machine is not accurate in detecting lies, just in measuring reactions. Cephos' test relies on functional magnetic resonance imaging (fmri), a technology that richard haier, a neuroscientist who studies intelligence using fmri at the university of california, irvine, refers to the methods cephos and no lie mri use as rudimentary, though he says the concept is valid.

Related : Can Fmri Be Used As A Lie Detector - Fmris are connected to specialized software able to not only..